Understanding Open Bite

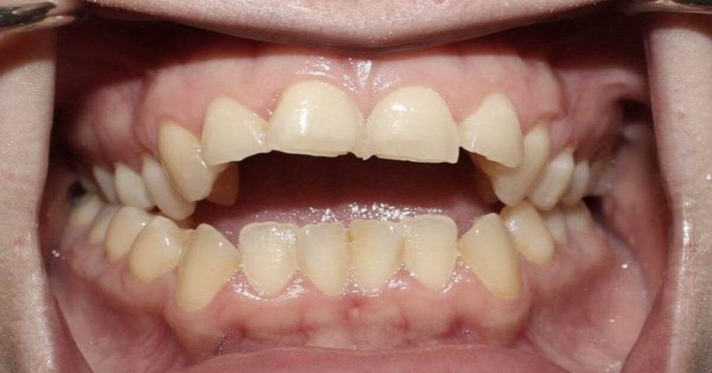
When Your Teeth Don’t Meet in the Middle An open bite is a type of malocclusion characterised by a gap between your upper and lower teeth when your jaws are fully closed—no biting contact, just space. Imagine trying to bite into a sandwich, but your front teeth never touch, or you see a visible gap […]